Metamorfozy
W Dentysta Artysta prezentujemy przykłady różnorodnych metamorfoz, które pokazują, jak kompleksowe leczenie stomatologiczne może odmienić wygląd i samopoczucie pacjentów. Od prostych zabiegów estetycznych po pełne rekonstrukcje protetyczne – każdy przypadek jest dowodem na to, że piękny uśmiech można odzyskać niezależnie od wieku czy początkowego stanu uzębienia.
Nasze realizacje obejmują zarówno leczenie zachowawcze i endodontyczne, jak i odbudowy protetyczne, implanty, wybielanie czy korekty estetyczne w odcinku przednim. Każda metamorfoza to historia pacjenta, któremu przywracamy nie tylko zdrowe zęby, ale także pewność siebie i komfort w codziennym życiu.
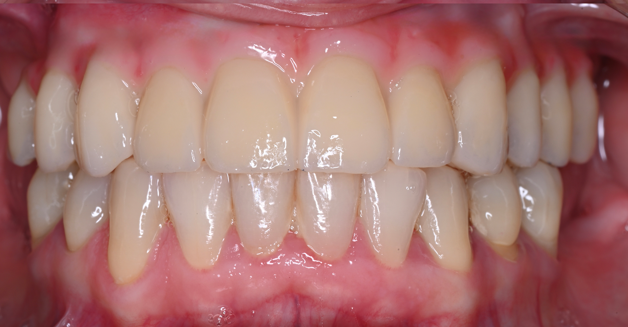
Leczenie ortodontyczne
Leczenie ortodontyczne aparatem stałym górny i dolnym. Poprawa funkcji – korekta ustawienie zębów w celu zapobiegania patologicznemu ścieraniu się zębów oraz poprawa estetyki uśmiechu.
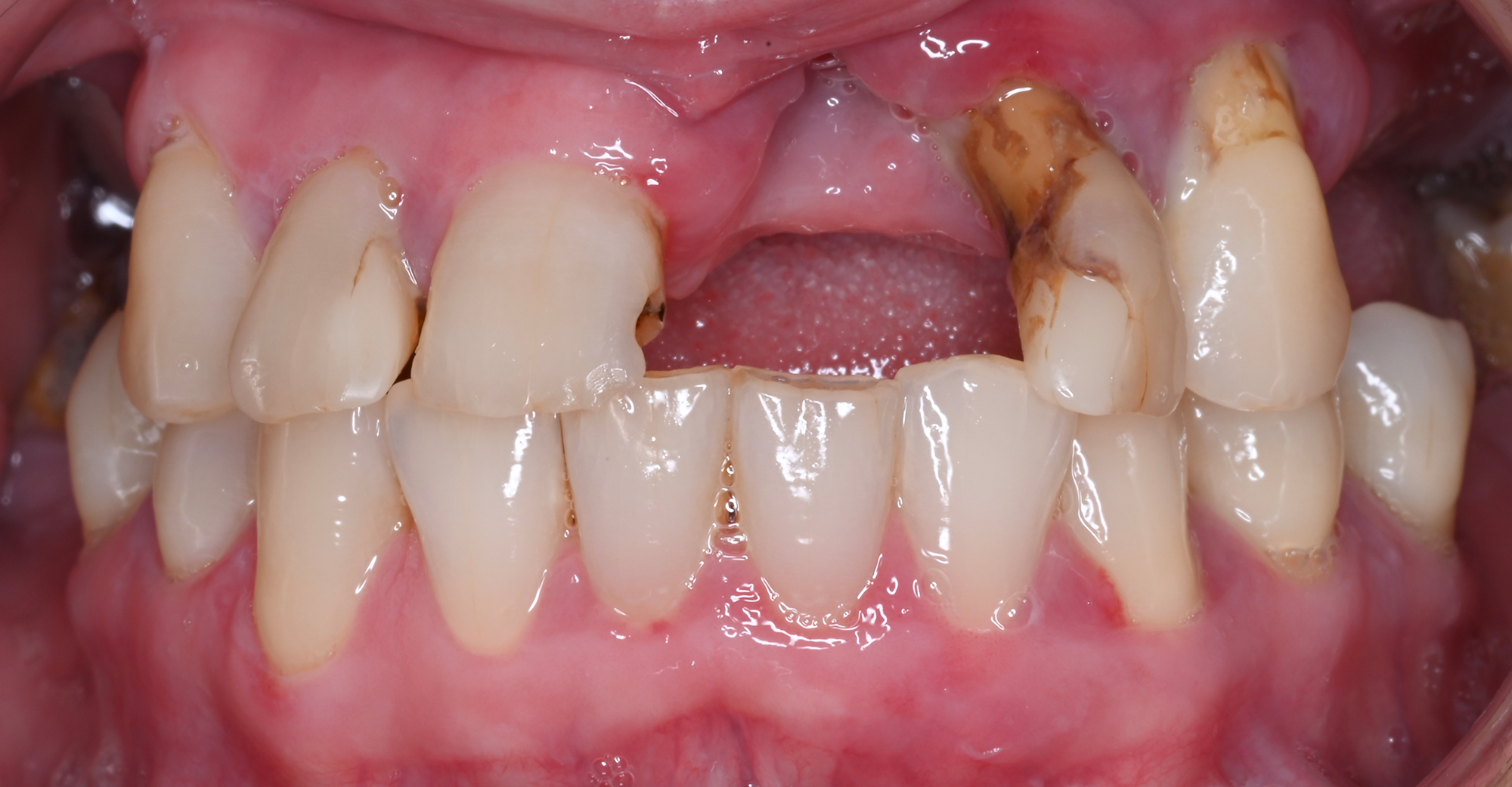
Zęby w jeden dzień
Choroba przyzębia (paradontoza) w zaawansowany stadium powoduje duże zanikiem kości szczęki i żuchwy, co skutkuje szybką utrata zębów. W trakcie jednego zabiegu usunięto resztkowe uzębienie, wkręcono 6 implantów oraz osadzono stałą pracą protetyczną. Podczas jednej wizyty można w trwały i estetyczny sposób odbudować utracony uśmiech.
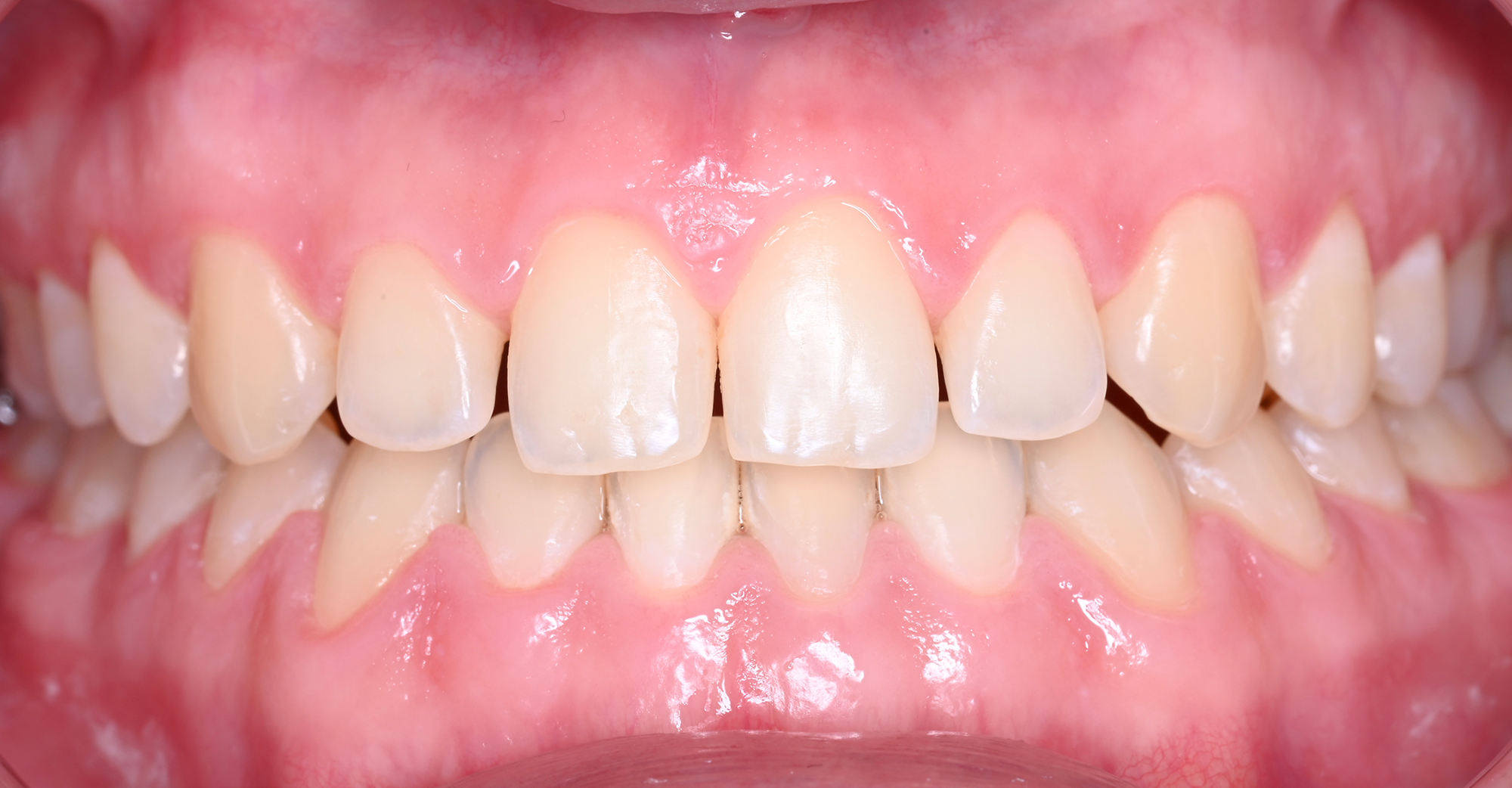
Leczenie ortodontyczne z estetyczna odbudową
Leczenie ortodontyczne aparatem stałym górnym i dolnym. Korekta zgryzu głębokiego (zwiększenie ekspozycji dolnych siekaczy), poprawa ustawienia zębów oraz estetyczna odbudowa (bonding) odtwarzająca naturalny kształt i kolor zębów.
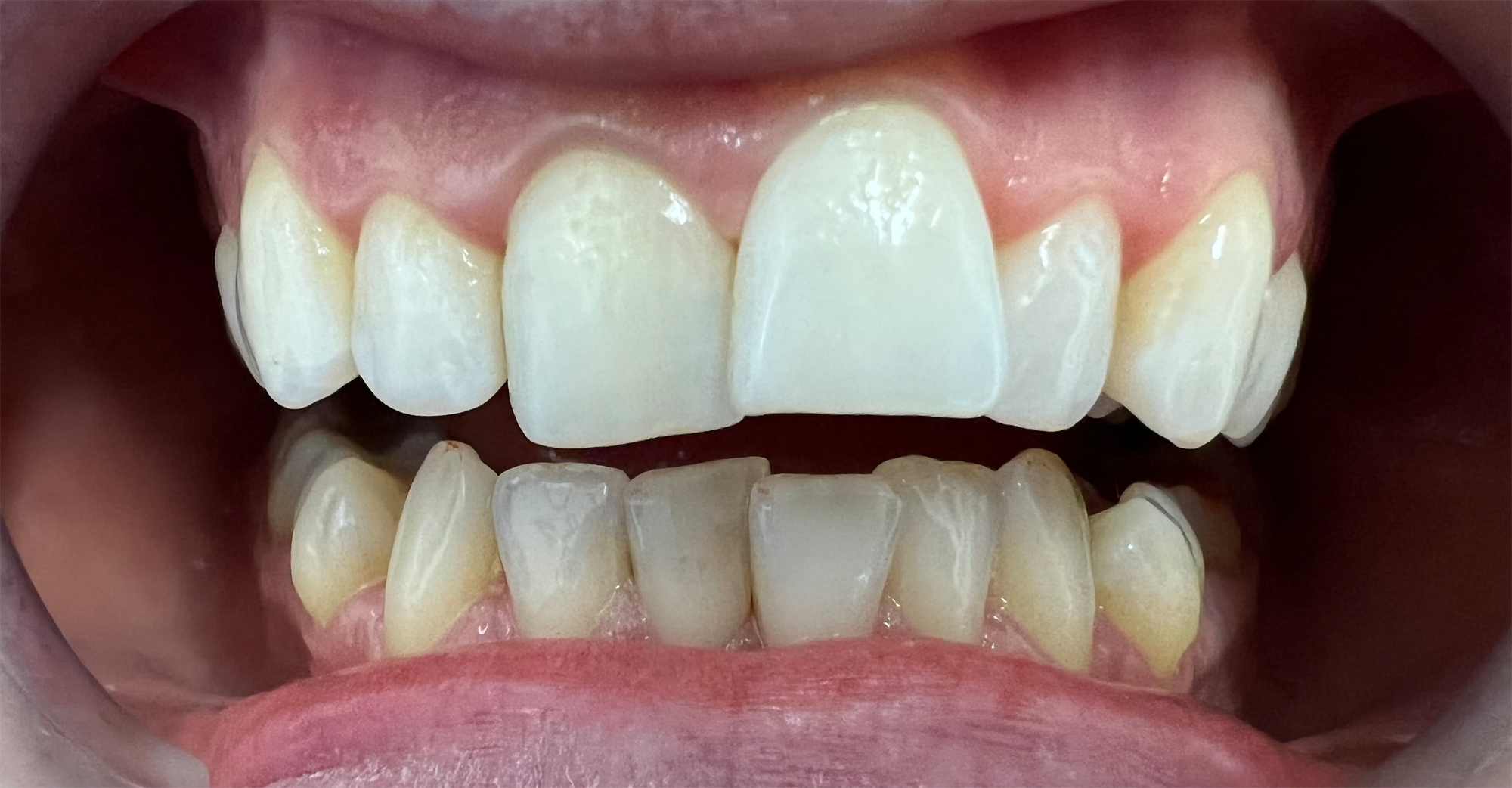
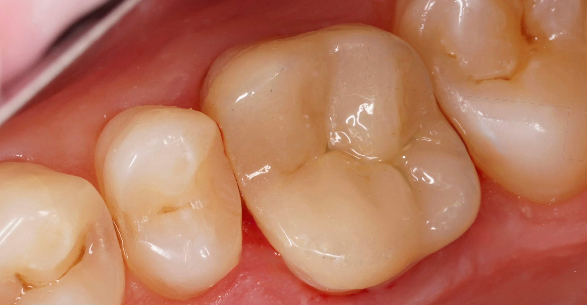
Nakład pośredni
Gdy utrata twardych tkanek zęba jest bardzo duża zwykła plomba nie wystarczy aby trwale odbudować ząb. W takich przypadkach należy wykonać odbudowę protetyczną taką jak nakład ceramiczny aby przywrócić prawidłową funkcję oraz estetykę zęba. Gwarantuje to prawidłowe rozłożenie sił żucia, chroniąc ząb przed dalszym zniszczeniem.
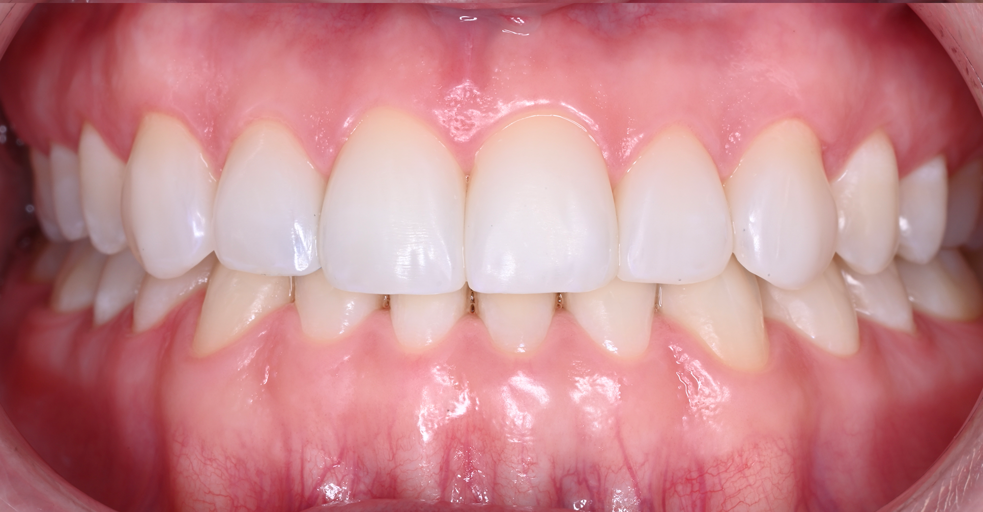
Licówki kompozytowe (bonding)
Leczenie ortodontyczne aparatem stałym głównym i dolnym – odtworzenia prawidłowej okluzji. Nakładkowe wybielanie zębów w celu osiągnięcia jasnego, naturalnego koloru. Licówki kompozytowe (bonding) wyrównujące kształty i symetrię zębów.
